CASE report
By Jason Cuéllar, MD

Jason Cuéllar, MD
Education:
Areas of Interest:
The patient has pain that radiates into the right trapezium and down into the forearm with numbness, tingling, and hand cramping. Symptoms have worsened over the past 18 months despite conservative treatments including physical therapy and chiropractic care.
Patient is tall and very active; he runs a men’s healthcare company.
Pre-op MRI demonstrates partial disc height collapse and foraminal stenosis at C5-6 and C6-7.
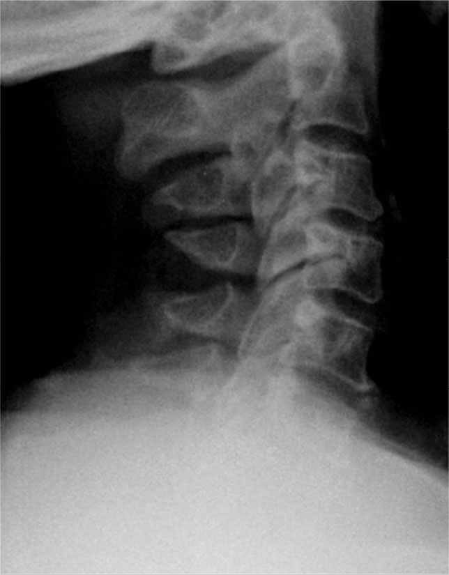
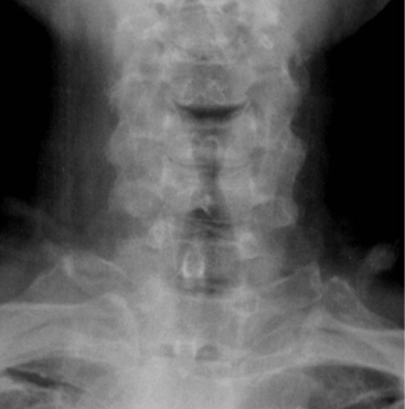
Pre-op dynamic radiographs demonstrate partial loss of disc height at C5-6 and C6-7 without instability or scoliosis.
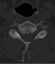
Pre-op CT demonstrates right C5-6 uncovertebral joint osteophyte causing foraminal stenosis but minimal facet arthrosis.
Fusion was not considered for this active patient. Disc replacement is my ‘default’: if there is not a major reason to do a fusion—such as spinal instability—disc replacement is my automatic go-to.
Based upon pre-operative imaging, a two-level prodisc C Vivo was expected, however a mixed prodisc C Vivo & prodisc C SK was considered possible, as well.
During intra-operative trialing after discectomy and foraminotomies, I felt that the best fit at the C6-7 level was with a prodisc C SK—6mm tall by 18mm deep (Figure 6a). I then performed the discectomy and trialing at the C5-6 level and felt that the prodisc C Vivo was a perfect fit here (Figure 6b).
The patient’s height likely contributed to needing a 6mm size. About 25% of the time, I find I need to bump up to a 6mm implant—but, ultimately, I base my decision upon what I see during trialing.
The patient’s symptoms have completely resolved. The x-rays in Figure 8 were taken at the first post-op visit at 2 weeks.
I love having access to the variety of options that prodisc offers. As a backup during the procedure, I even have the original prodisc C implant available in the room to see what fits best during surgery.
EDUCATIONAL development
Centinel Spine offers a variety of educational programs tailored to meet the diverse training needs of physicians. Hands-on Bioskills Courses, Peer-to-Peer Webinars, and OR Surgical Observations have been designed to review patient selection, surgical technique and tips, post-operative care, and other related topics. These programs can be customized to individual physician needs, providing varied levels of support to surgeons.
About our
Hands-on Bioskills Courses
These courses provide surgeons with an educational experience focused on patient selection, surgical technique, strategies, and solutions for addressing specific spinal pathologies. The course format includes lectures, case discussions with expert faculty, and a bioskills lab.
The curriculum covers biomechanical considerations, indications and patient selection, surgical technique, tips and tricks, post-operative care, and best practices.
About our
Peer-to-Peer Webinars
Centinel Spine’s live streaming webinars provide a convenient way for physicians to learn from experts in motion preservation discussing specific treatments, techniques, and strategies for patient care.
Our interactive webinars allow participants to pose questions, receive answers, and exchange ideas in real-time with their surgeon peers from the comfort of their homes or offices.
About our
Surgical Observations
Surgical Observations are a surgical technique training and continuing education program that exposes surgeons to the technical procedures and skills required for anterior column surgery, through a combination of case discussions and viewing live surgery.
Surgeon OR Visitations are offered at Centinel Spine experienced faculty locations, where key thought leaders in spine educate with a focus on the anterior spinal column.
Watch this short primer on Centinel Spine and its unique and extraordinary place as a catalyst of change in the spine industry—with pioneering technologies and a clinical history that have led to successes ranging from PGA champions to a growing list of surgeon-patients.
Watch the Video