CASE report
By Derrick Dupre, MD

Derrick Dupre, MD
Education:
Areas of Interest:
My clinical interests focus on a wide variety of disciplines and techniques. Complex and minimally invasive spine surgery is a field in which I strive to offer the best care possible to patients. With the ever-evolving technologies and techniques available, I enjoy staying up to date and offer those interventions which are best suited and individually tailored.
This patient is a 50-year-old female who presented with neck pain, pain across the shoulder blades, and pain into the arm with occasional numbness and tingling and frequent headaches. She works as a medical biller and coder and spends frequent time at a computer. She has failed conservative measures including extensive therapy, lifestyle modifications, pain management, and injections.
The patient was found to have multiple levels of degenerative disc disease with the highest degree of stenosis at C6-7 which showed moderate central canal stenosis, severe left foraminal stenosis, and moderate right foraminal stenosis. There is posterior element buckling at C6-7, indicative of loss of height of the functional spinal unit.
There was slight retrolisthesis without any motion on flexion-extension at C6-7.
Radiographs and computed tomography demonstrate early formation of a ventral osteophyte without any significant foraminal or canal osteophytes.
Given the lack of significant osteophytes, consent was obtained for total disc arthroplasty. Initially, prodisc C was considered, however the patient has a history of lung disease as well as adverse anesthesia effects and hereditary coagulopathy, therefore the decision was made to switch from prodisc C to prodisc C Vivo.
The reason for this is the decreased operative time and safety. Reducing the number of times passing instruments in and out of the surgical field past the carotid sheath, bridging blood vessels, the esophagus and other soft tissue potentially decreases the likelihood of injury. Additionally, less passes means less time, which results in less time-multiplied pressure on the esophagus and the paravertebral plexuses, that ultimately result in reduced postoperative dysphagia, reduced incidence and length of hoarseness, etc. Infection risk is also a consideration, as there are far less instruments passed from the scrub table into the operative wound, which in-and-of-itself will reduce the chances of inoculation. Finally, blood loss can be reduced by avoiding the keel cut into two of the vertebrae which is part of the prodisc C implantation technique.
Total operative time was 50 minutes. Patient was discharged home on postoperative day 0.
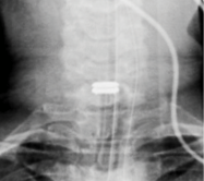
prodisc C Vivo implanted: 17x14x5mm
At the 6-week follow-up visit, the patient has excellent pain relief with resolution of radicular symptoms, headaches have also resolved.
An important take-away from this case is the addition of prodisc C Vivo to my toolkit for managing patients. This also provides me with an opportunity to decrease OR time and improve safety as well as lower potential infection risks due to shorter cases and fewer passages into and out of the surgical field.
EDUCATIONAL development
Centinel Spine offers a variety of educational programs tailored to meet the diverse training needs of physicians. Hands-on Bioskills Courses, Peer-to-Peer Webinars, and OR Surgical Observations have been designed to review patient selection, surgical technique and tips, post-operative care, and other related topics. These programs can be customized to individual physician needs, providing varied levels of support to surgeons.
About our
Hands-on Bioskills Courses
These courses provide surgeons with an educational experience focused on patient selection, surgical technique, strategies, and solutions for addressing specific spinal pathologies. The course format includes lectures, case discussions with expert faculty, and a bioskills lab.
The curriculum covers biomechanical considerations, indications and patient selection, surgical technique, tips and tricks, post-operative care, and best practices.
About our
Peer-to-Peer Webinars
Centinel Spine’s live streaming webinars provide a convenient way for physicians to learn from experts in motion preservation discussing specific treatments, techniques, and strategies for patient care.
Our interactive webinars allow participants to pose questions, receive answers, and exchange ideas in real-time with their surgeon peers from the comfort of their homes or offices.
About our
Surgical Observations
Surgical Observations are a surgical technique training and continuing education program that exposes surgeons to the technical procedures and skills required for anterior column surgery, through a combination of case discussions and viewing live surgery.
Surgeon OR Visitations are offered at Centinel Spine experienced faculty locations, where key thought leaders in spine educate with a focus on the anterior spinal column.
Watch this short primer on Centinel Spine and its unique and extraordinary place as a catalyst of change in the spine industry—with pioneering technologies and a clinical history that have led to successes ranging from PGA champions to a growing list of surgeon-patients.
Watch the Video